NEOSPOROSIS


Dra. Déborah César
Instituto Plan Agropecuario


La Neosporosis una enfermedad que produce aborto en bovinos y puede producir parálisis y síntomas nerviosos en el perro. Es producida por un protozoario, Neospora caninum, y ha sido diagnosticada recientemente en nuestro país .

Este agente fue primero reconocido como productor de abortos en bovinos en California, Estados Unidos, a principios de la década del 90 y hoy es considerada una de las causas mas importantes de aborto en bovinos en países como Australia, Nueva Zelandia, Inglaterra y Japón.

La epidemiología de la enfermedad aún no esta muy clara, pero se reconoció en 1999, el papel del perro como uno de los huéspedes definitivo en el ciclo biológico de este parásito.
Neospora caninum es un protozoario muy similar al Toxoplasma gondii. El ciclo biológico hasta ahora demostrado sugiere que el perro eliminaría en sus materias fecales a los ooquistes ,los cuales en condiciones ambientales favorables, se volverían infecciosos en unos pocos días (1 a 5) . Estos pueden permanecer en el suelo, agua y alimentos por cerca de 1 año.

Figura 1.- Ciclo biológico de Neospora caninum

Estas formas infectantes son ingeridas por diferentes especies de animales, entre ellas el bovino, (huéspedes intermediarios) y del intestino pasarían a la sangre por medio de la cual se replicarían en los distintos órganos. De esta manera se infectaría al feto, el cual dependiendo de su respuesta de defensa (respuesta inmune) puede morir y producirse el aborto o puede nacer como un ternero normal pero portador de la enfermedad (infección congénita), manteniendo la enfermedad en el establecimiento. (figura 1)

La vía de infección vertical transplacentaria (de madre a hijo) es la más comprobada y parece ser la más importante para mantener la infección en un establecimiento.
Hasta el momento no se ha comprobado la transmisión horizontal entre animales adultos. Los ooquistes eliminados por el perro son ingeridos por los bovinos y éstos por medio de la vía transplacentaria mantendrían la infección.
Varios estudios epidemiológicos han encontrado una asociación entre bovinos positivos serológicamente a Neospora caninum y la presencia de perros en los establecimientos, sugiriendo un importante rol del perro en la transmisión de la enfermedad.
Hasta el momento no se ha comunicado la transmisión por medio de semen o embriones

Este agente produce principalmente aborto en los bovinos y no se observa ningún otro síntoma clínico en las vacas. El aborto puede ocurrir en cualquier etapa de la gestación, observándose la mayoría de ellos entre el 4º y 6º mes de preñez.
También da lugar al nacimiento de animales normales pero infectados, que son los que van a continuar la infección en el establecimiento.

El aborto puede producirse de manera severa en "tormentas" (epidémico) pudiendo abortar hasta de más de 30% de los animales preñados en un corto período de tiempo. La otra forma, menos espectacular pero no por eso menos importante, es la denominada endémica, donde todos los años el porcentaje de aborto no es muy alto (mayor a 5%) pero persistente durante muchos años .

Se da tanto en animales de leche como de carne, aunque mundialmente es a nivel de la producción lechera donde produce mas pérdidas.
Estudios económicos realizados en el estado de California revelaron que las pérdidas anuales de esta enfermedad estarían dentro de los 35 millones de dólares.
Este mismo estudio indica que las vacas serológicamente positivas producen 366 litros menos de leche por lactancia y además son refugadas 6.3 meses antes que sus pares no infectadas y tienen un riesgo 1,6 veces mayor de ser refugadas.

A diferencia de algunas otras enfermedades abortivas, las vacas que abortaron una vez, pueden hacerlo nuevamente. Los estudios realizados en USA, indican que las vacas que abortaron 1 vez pueden tener un riesgo 5.7 veces mayor de abortar nuevamente en siguientes preñeces.
Este mismo estudio determinó que las vacas serológicamente positivas tienen un riesgo 7.4 veces mayor de abortar en su primera preñez.

En nuestro país en el año 1999 se diagnosticó por primera vez la enfermedad y hoy hay diagnósticos tanto en ganado de carne como en ganado de leche.
Resultados parciales de un estudio epidemiológico llevado a cabo por DI.LA.VE. Miguel C. Rubino en establecimientos ganaderos, indica que existe infección en el 86.5% de los mismos en 15 departamentos del país.
El mismo estudio mostró serología positiva en el 22.3% de las vacas y en el 21.6% de las vaquillonas.

Para realizar el diagnóstico de esta enfermedad se necesita el apoyo de un laboratorio de diagnóstico veterinario.
Las muestras necesarias para realizar el diagnóstico son el feto, la placenta (en lo posible) y sangre de la madre.
El diagnóstico se hace visualizando al agente y a las lesiones que produce en el feto y también por pruebas serológicas en las vacas donde se mide el nivel de anticuerpos que tienen.

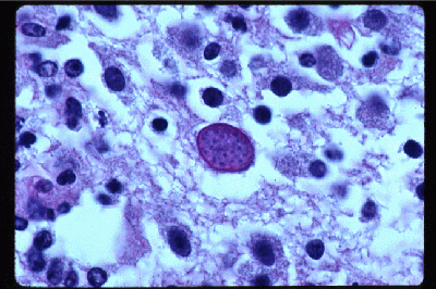
Figura 2.- Quiste de Neospora caninum

Aún no están muy claras cuáles son las medidas de control y prevención en esta enfermedad.
Considerando el hecho de que vacas que ya han abortado por esta enfermedad pueden volver a abortar, una medida para disminuir estos casos podría ser , el de eliminar a aquellos animales que tienen un diagnóstico confirmado por este agente.
Por los pocos estudios realizados también se puede inferir que los animales serológicamente positivos tienen más probabilidades de abortar sumándose además que tienen una producción de leche menor. La eliminación de estos animales positivos serológicamente, podría ser otro criterio para disminuir las chances de la enfermedad. Todo esto va a estar dependiendo del porcentaje de animales positivos en el establecimiento.
Recientemente se esta evaluando una vacuna contra esta enfermedad pero aún no hay resultados claros sobre su eficacia en reducir la infección fetal o el aborto.

Sería también aconsejable, ya que se ha visto que el perro es el huésped definitivo de esta enfermedad, el no permitir que estos animales tengan contacto con tejidos infectados ( fetos, placentas) y en lo posible evitar el contacto de las materias fecales de estos animales con las fuentes de agua y los lugares donde está almacenado el alimento. Esto podría volverse un poco difícil en las condiciones de producción de nuestros establecimientos tanto sea productores de leche o carne, pero en lo posible debería evitarse ese contacto.

En el perro la infección puede pasar desapercibida o puede como se especificó anteriormente, producir una enfermedad con parálisis y síntomas nerviosos.

Hasta hoy no se ha comprobado si esta enfermedad afecta también al hombre (zoonosis), aunque no hay que olvidar la similitud que tienen la Neospora caninun con el que produce la Toxoplasmosis, enfermedad que sí afecta al hombre.